4 գործողություն լնդերի բորբոքումները կանխելու համար

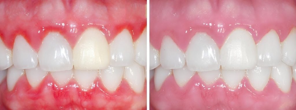
Ձախ կողմից բորբոքված լնդեր, աջից՝ առողջ

Լնդերի քրոնիկ բորբոքումների ամենատարածված տեսակը գինգիվիտ (gingivitis) հիվանդությունն է, որը արտահայտվում է գրգռված, այտուցված, կարմրած և արյունահոսող լնդերի տեսքով։ Շատերը պատշաճ ուշադրություն չեն դարձնում այդ խնդրին, երբեմն փորձելով ուղղակի խուսափել արյունահոսությունից՝ օրինակ ընտրելով ավելի ու ավելի փափուկ խոզանակ, մաքրելով ավելի զգուշորեն և այլն։ Թեև չափից կոշտ խոզանակները և ուժեղ պրտելը հակացուցված են ամեն դեպքում, գինգիվիտը այդպիսով չի բուժվում։ Իսկ չբուժելու դեպքում այն կարող է անցնել ավելի լուրջ լնդային հիվանդության, որը կոչվում է պարոդոնտիտ։ Վերջինս նույնպես հիմնականում անցնում է անցավ՝ աստիճանաբար քայքայելով ատամերը պահող լնդային ակոսները և ոսկորները։ Լիովին առողջ ատամները սկսում են շարժվել և դուրս ընկնել։ Այսպիսով, դառնալով քրոնիկ՝ լնդերի բորբոքումները բերում են ատամների կորստի։ 

Լնդերի բորբոքումները բերանի խոռոչում առաջանում են բակտերիալ ակտիվության պատճառով, որն էլ իր հերթին ոչ բավարար հիգիենայի հետևանք է։ Նպաստավոր գործոններ են նաև ժառանգականությունը, սթրեսը, ծխելը։ Ատամնաքարերը նույնպես նպաստում են լնդերի բորբոքումներին: Առավել հաճախ քարերը կուտակվում են լնդերի եզրերին, դրանց տակ և գրպանիկներում։ Ի տարբերություն հարթ էմալի, ատամնաքարերի մակերեսը անհարթ է, գրգռում է լնդերը և բարենպաստ միջավայր ստեղծում ատամնափառի կուտակման համար։ Հերևաբար, գինգիվիտը և պարադոնտինը կանխելու համար արհրաժեշտ է ուժեղացնել բերանի խոռոչի հիգիենան, հետևողականորեն կատարելով հետևալ 4 գործողությունները․

1. Sարին առնվազն մեկ (իսկ անհրաժեշտության դեպքում 2-3) անգամ այցելել ատամնաբույժին՝ քարերը հեռացնելու և լնդային գրպանները մաքրելու համար։ 

2. Օրական 2 անգամ, առավոտները և երեկոյան քնելուց առաջ, լավ մաքրել ատամները խոզանակով և մածուկով՝ հեռացնելով ատամնափառը. Քանի որ 100 տոկոսով ատամնափառը հեռացնելը շատ դժվար է, ցանկալի է օգտագործել ատամի մածուկ, որը պարունակում է և ատամնափառի քարացումը և դրա բակտերիալ աճը զսպող նյութեր, օրինակ՝  Amarol Premium Multicare։ Մաքրել 2-3 րոպե տևողությամբ, որպեսզի հակամանրէ և կարծրացումը կանխող նյութերը ազդելու բավարար ժամանակ ունենան։


3. Օրվա ընթացում 2 անգամ ողողել բակտերյալ աճը զսպող ողողիչով, օրինակ՝ ուրցի և էվկալիպտի հակամանրէ յուղեր պարունակող  Amarol Multicare White ։ Ողողել մոտ 60 վայրկյան, լավ “բրդելով” հեղուկը ատամների արանքներով։

4. Ամեն օրվա վերջում մաքրել ատամների արանքները կամ հատուկ արանքների համար նախատեսված խոզանակներով կամ Amarol Floss ատամնաթելով։ Միջատամնային մակերեսները գրեթե անհնար է լավ մաքրել սովորական խոզանակներով։ Դրանք ներկայացնում են ատամների ընդհանուր մակերեսի մոտ 30%, որը չմաքրելու դեպքում ատամնափառը կուտակվում է ատամների արանքներում։ Արդյունքում բակտերիալ բարձր ակտիվությունը խրախուսում է գինգիվիտը։  

Այս 4 քայլերը միանվագ բուժում չեն, և լնդերի առողջացումը չի նշանակում, որ կարելի է վերադառնալ հիգիենայի նախկին թույլ ռեժիմին։

ԱՐՏԱԴՐՎԱԾ Է ՀԱՅԱՍՏԱՆՈՒՄ

Եվրոպական բարձրորակ բաղադրիչներով

ԳՏԵ’Ք ՄԵԶ ՍՈՑ. ԿԱՅՔԵՐՈՒՄ